著明な脳浮腫を認めた劇症肝炎- page 2

昭和大学医学部第二内科

馬場俊之先生

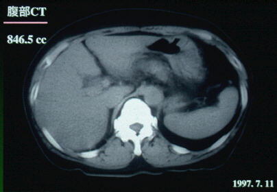
1997.7.11(入院時):腹部CTスキャン

肝容量846.5ccと減少。

1997.7.14:頭部CTスキャン

脳浮腫が著明である。(下の1997.9.9と比較のこと)

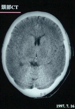
1997.7.16:頭部CTスキャン

脳浮腫持続。

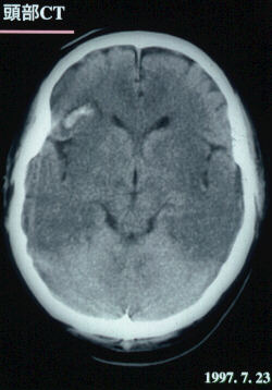
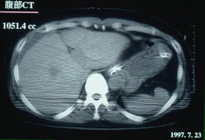
1997.7.23:腹部CTスキャン

肝容量は1051.4ccまで、回復。

頭部CTスキャン

ところが、左前頭葉に脳出血が起きた。

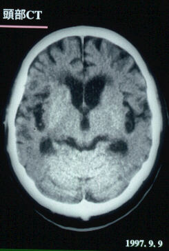
1997.9.9:頭部CTスキャン

脳浮腫は改善。脳出血部位も吸収されている。

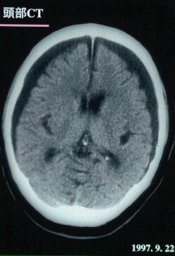
1997.9.22:頭部CTスキャン

ところが、両側に硬膜下血腫が形成された。

さて、1997年8月21日に施行された肝生検の所見は羽毛状変性が見られる特異なものでした。

[目次へ] [前のページ] [次のページ]


[Returnto Medical Meetings] [Return to Case Study]