著明な脳浮腫を認めた劇症肝炎- page 3
昭和大学医学部第二内科
馬場俊之先生
聖マリアンナ医科大学第二病理学教室 前山史朗先生はまずこの症例の臨床経過を次のようにまとめた上で肝生検組織所見を下記の如くを解説しました。
(各サムネイル画像をクリックすると大きな画像が見えます、それぞれ60-80KB位あります。サムネイルはあくまでスイッチの役です、大きな画像の表示が終わったら、ブラウザー左上の戻るボタンで戻ってください。自分で見てから前山先生の解説を読むと良いと思います。また画像のクオリティーについてはもっと良くすることも出来ます。回線のスピードによって表示要する時間が変ってきますが、読み込みにもっと時間がかかってもクオリティーを上げた方が良いという意見があればお知らせください。)
- 63歳、女性、手術歴・輸血歴および飲酒歴なし、
- 感冒様発症の劇症肝炎(高度の肝機能障害と肝性昏睡II度)
- 発症数ヶ月前よりHBV carrierとのsexual contactあり、
- 集学的加療(cortico-steroid, IFN, 血漿交換、血液濾過透析)
- てんかんの後遺症は存するが肝炎は沈静
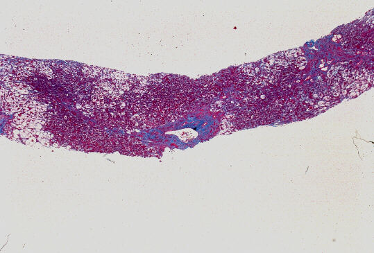
肝生検;平成9年8月21日(発症後約40日)
標本;HE,Azan,HBsAgオルセイン&鍍銀の4染色
1 2 3 4 5 6 7 8 9 10 11 12 13 14 15 16 17 18
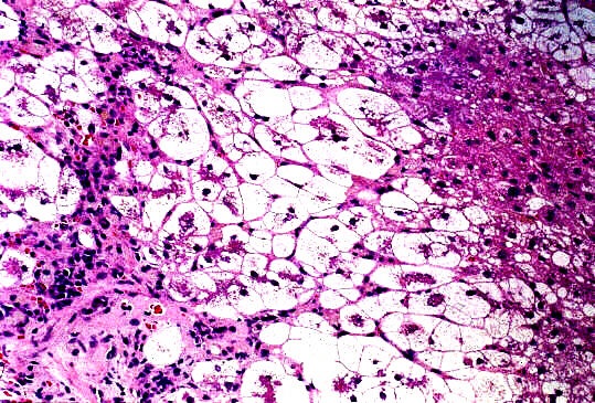
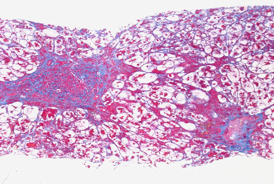
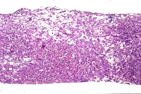
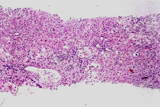
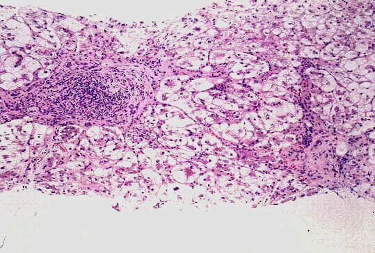
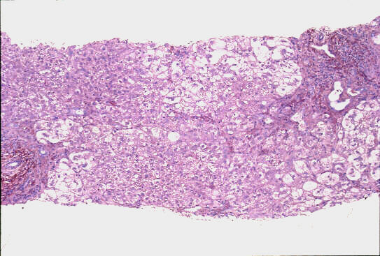
- 小葉構造;P-P bridging hepatic necrosisをみるも保持されている
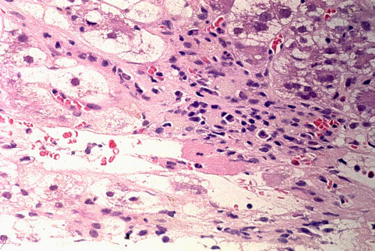
- 門脈域;中等度までの線維性拡大、中等度までの単核球主体の炎症性細胞浸潤、小葉間胆管の障害像、細胆管増生、胆汁栓
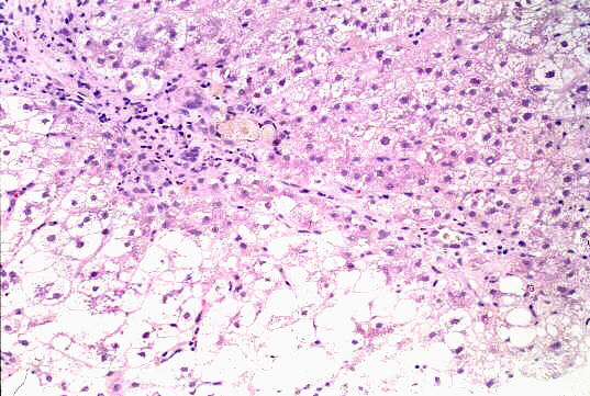
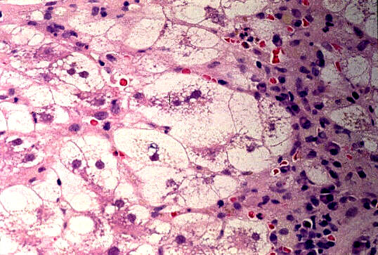
- 実質域;架橋形成性壊死 (bridging hepatic necrosis)、肝細胞の風船様膨化と再生性肝細胞、小ないし中滴性脂肪沈着を部分的にみる、羽毛状変性と風船様膨化、合胞性多核巨細胞の出現、ロゼット形成(偽腺管構造)、胞体内凝集傾向、核内空胞
肝細胞にビリルビン色素、Ground-glass所見は認めない
HBsAgオルセイン;陰性(Marcophage or Kupffer's cellsに陽性;Ce-L)
病理組織診断;急性肝炎、架橋形成性壊死を伴う(重症型)
Acute hepatitis with bridging necrosis
病因;1. HBV(急性発症として血清学的所見は合致する?)
鑑別診断;HBVの上にさらに、
1.Giant-cell hepatitis (Postinfantile giant-cell transformation in hepatitis, by Devaney K, Goodman ZD & Ishak KG, in 1992)
2. Syncytial giant-cell hepatitis-sporadic hepatitis with distinctive pathological features, a severe clinical course, and paramyxoviral features (by Phillips MJ, et al in 1991)
[Returnto Medical Meetings] [Return to Case Study]