肝障害は軽度?組織像はsevereなAIH- page 2
昭和大学藤が丘病院 消化器内科
船津康裕 先生
聖マリアンナ医科大学第二病理学教室 前山史朗先生はまずこの症例の臨床経過を次のようにまとめた上で肝生検組織所見を下記の如くを解説しました。
(各サムネイル画像をクリックすると大きな画像が見えます、それぞれ60-80KB位あります。サムネイルはあくまでスイッチの役です、大きな画像の表示を見終わったら、ブラウザー左上の戻るボタンで戻ってください。自分で見てから前山先生の解説を読むと良いと思います。また画像のクオリティーについてはもっと良くすることも出来ます。回線のスピードによって表示に要する時間が変ってきますが、読み込みにもっと時間がかかってもクオリティーを上げた方が良いという意見があればお知らせください。)
- 76歳、女性、手術歴(S.31;子宮後屈)・輸血歴あり、飲酒歴なし、
- 以前は肝機能正常、平成9年より中等度のtransaminase の上昇
- 自他覚症状なし
- 免疫グロブリンIgGの軽度の増加
- 抗核抗体と抗ミトコンドリア抗体の低力価ながら陽性
- Anti-M2 抗体は陰性(Western Immunoblotting, IgG, IgA & IgM 型は?)
- Inter. AIH Groupの診断基準、わが国のAIHの基準に合致か?
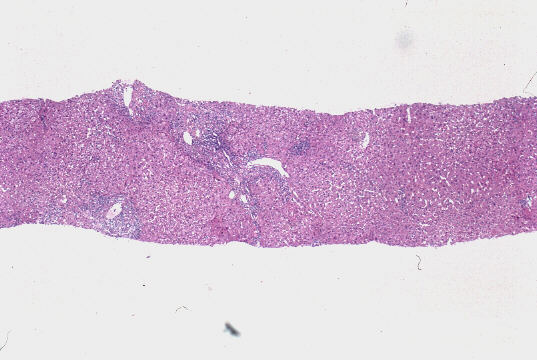
肝生検;平成9年8月15日(発見後約4カ月)
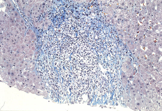
標 本;HE、Masson-trichrome、PAS&鍍銀の4染色
1 2 3 4 5 6 7 8 9 10 11 12 13 14 15 16
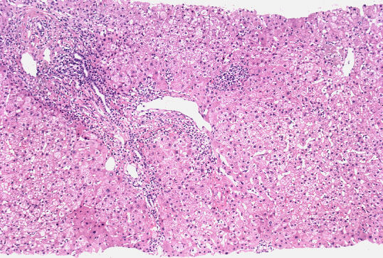
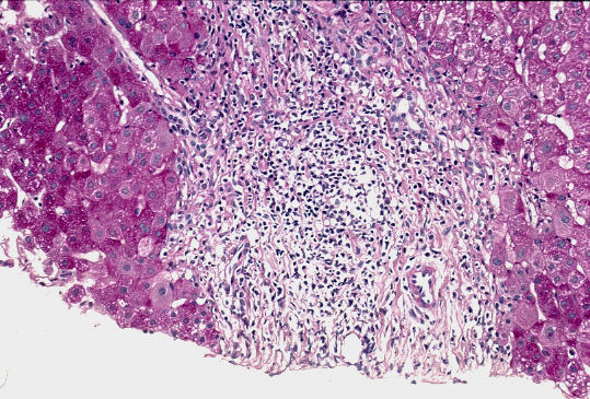
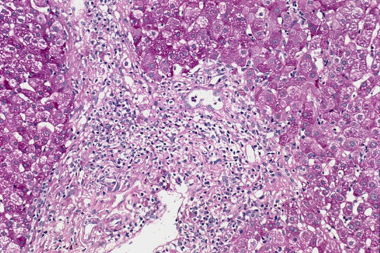
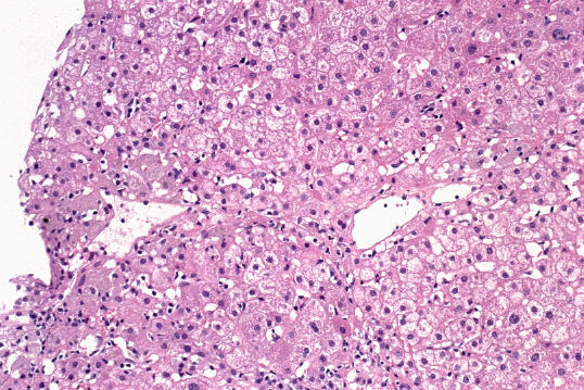
- 小葉構造;保持されている[F1〜(2)]、一部のP-Pのapproximation
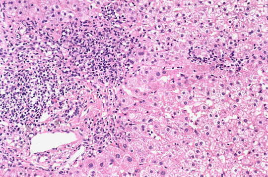
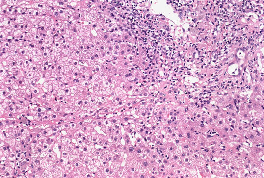
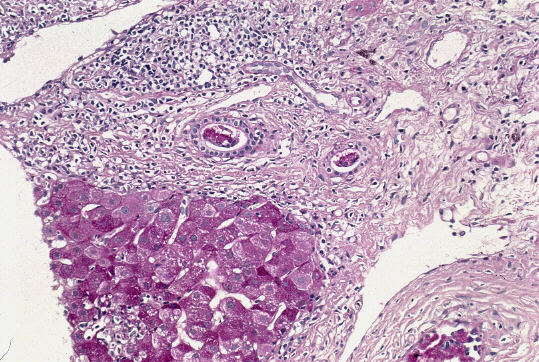
- 門脈域;中等度の線維性拡大、中等度の単核球主体の炎症性細胞浸潤、リンパ様濾胞、明らかな小葉間胆管の障害像、periductal fibrosis、細胆管増生
- 実質域;acute yellow collapse cell を含む巣状壊死を散在性にみる、好酸体(+)、肝細胞の風船様膨化と明調化(部分的)、肝細胞の大小不同、肝細胞核の大小不同、大滴性脂肪沈着を部分的に軽度にみる、核内空胞、ロゼット形成(偽腺管構造)、実質内に細線維の伸長、一部の限界板の削り取り壊死、銅の沈着はなし。
病理組織診断;Acute exacerbation of chronic hepatitis [AIH]
A(2)〜3/F1〜(2) [AIH]
病 因;元来、軽度の慢性炎に急性増悪が加わったAIH
鑑 別;
1.Acute hepatitis on CH [etiology unknown]
2.Acute hepatitis on PBC? [etiology unknown]
[Returnto Medical Meetings] [Return to Case Study]