Drug-induced hepatitis
湘南鎌倉総合病院
柳川健 先生
46歳女性 151 cm, 51Kg
既往歴:特記すべき事なし。
家族歴:特記すべき事なし。
現病歴:1996年8月他院よりAST49、ALT66にて紹介。TC279であったためメバロチン 2T/日分2投与開始と同時に食事療法を始めた。体重は2-3kg減少し約1ヶ月後 AST43、ALT46となったが、その後AST,ALT変動し、同年12月にはAST94,ALT142となった。その後もAST,ALTは変動している。
検査成績
HBsAg (-), HBsAb (-), HCV Ab (-),ANA (-), AMA (-),
Hb 11.4, RBC 371万、WBC 4000, Plt 19.4 万
1996.8.23 11.15 12.13 1997.3.21 T-Bil 1.5 D-Bil 0.3 ZTT 8.1 AST 43 56 94 72 ALT 46 56 142 80 LDH Al-p 106 132 129 103 Ch-E γ-GTP 13 21 22 19 T-chol 208 292 214 212 T-P 6.3 Alb AST,ALTの軽度上昇が持続し、肝炎ウイルスマーカー、自己抗体は陰性。
聖マリアンナ医科大学第二病理学教室 前山史朗先生はまずこの症例の臨床経過を次のようにまとめた上で肝生検組織所見を下記の如くを解説しました。
- 46歳、男性、手術および輸血なし、飲酒歴?
- 軽度の肝機能障害にて来院
- メバロチン(pravastatin sodium ; HMG-CoA 還元酵素阻害剤)の服用歴を認める
- 肥満なく、高脂血症あり、DM?
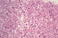
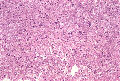
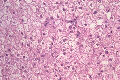
肝生検;平成9年2月16日(全経過約6カ月)
標本;HE、Masson-trichrome、PAS&鍍銀の4染色
1 2 3 4 5 6 7 8 9 10 11 12
- 小葉構造;保持されている
- 門脈域;線維性拡大なし、単核球主体の炎症性細胞浸潤が軽度、1カ所の門脈域にセロイド・リポフスチノーシス小葉間胆管および脈管の異常所見なし、細胆管の増生
- 実質域;巣状壊死が少数、実質内の細線維の伸長あり(1カ所)、核の偏在、胞体内の淡染性の物質(部分的にはGround-glass 様変化)とビリルビン色素顆粒、核空胞化、類洞内への好中球浸潤を軽度にみる、偽腺管様構造、肝細胞および核の大小不同、削り取り壊死は認めず
病理組織診断;Parenchymal damage (minimal change) with bile stasis. (Drug-induced liver disease, compatible with)
病 因;薬剤性(メバロチンによる?)
中毒性(未知の要因または食物?)
[Returnto Medical Meetings] [Return to Case Study]