Acute hepatitis
東京専売病院病院
陰原聞天 先生
33歳男性 171 cm, 72 Kg
検査成績
HBsAg (-), HCV Ab (-),
PT 71%, Hb 18.3, RBC 612万、WBC 6120, Plt 17.1 万
H9.5.1 5.2 5.6 5.9 T-Bil 3.06 5.3 2.6 1.3 D-Bil 4.2 1.4 0.8 ZTT 8.1 GOT 20370 10554 212 106 GPT 8160 6714 1292 592 LDH 7350 351 436 Al-p 358 314 252 Ch-E 376 γ-GTP 895 563 T-chol 204 T-P 7.7 Alb 4.8 GOT, GPTきわめて高値となり、急速に低下するエピソードが3回あり。
聖マリアンナ医科大学第二病理学教室 前山史朗先生はまずこの症例の臨床経過を次のようにまとめた上で肝生検組織所見を下記の如くを解説しました。
- 33歳、男性、手術歴・輸血歴なし、飲酒歴1〜2合/週、
- 高度の肝機能障害、トランスアミナーゼ&LDH の高値
- 肝炎ウイルスマーカーは陰性、
- 多血症(赤血球数 ; 612×104/μ3、Hb 18.3 g/dl )
- 過去にほぼ同様の肝機能障害を有する?(3回目、病因は?)
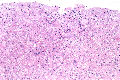
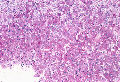
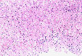
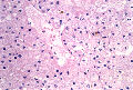
肝生検;平成9年5月19日(発症後約20日)
標 本;HE、PAS、Azan、HBsAgオルセイン&鉄の5染色
1 2 3 4 5 6 7 8 9 10 11 12 12
- 小葉構造;保持されている
- 門脈域;軽度の線維性拡大、軽度の単核球主体の炎症性細胞浸潤、
- 実質域;巣状壊死を少数みる、好酸体(+)、肝細胞の風船様膨化(部分的)
再生性変化、肝細胞核の大小不同、bile canaliculi にbile plug
小〜中滴性脂肪沈着を部分的に軽度にみる、核内空胞、
実質内に細線維の伸長、鉄沈着をみる
病理組織診断;
1.Acute hepatitis, subsiding stage
2.Non-specific reactive hepatitis, NSRH
病 因;etiology unknown
鑑 別;
1.Ishaemic hepatitis [ー回復に短期間ー]
2.多血症との関連性は?その時の脱水症状の程度は?
3.過去の肝機能障害と循環呼吸器系疾患との関連は?
4.小〜中滴性脂肪を部分的にみる
[Returnto Medical Meetings] [Return to Case Study]