CAH-PBC mixed type
川崎市立病院 内科
川嶋一成 先生
70歳女性
主訴:全身倦怠感
現病歴:平成9年4月頃より主訴出現、同年5月26日本院受診、GOT 233 IU/l, GPT 320 IU/l, ZTT 37 U, Alp 280 IU/l, γ-GTP 160 IU/lと肝・胆道系酵素の上昇を認め、精査加療のため6月9日入院となった。嘔気なし、皮膚掻痒感なし。口腔内・眼球乾燥感あり。
既往歴:特記すべき事なし。
家族歴:特記すべき事なし。
現症:137 cm, 47Kg、意識清明、リンパ節腫大なし、黄疸、貧血なし、色素沈着なし、Vascular Spiderあり。肝臓右季肋下に1横指、脾腫あり。
検査成績
HBsAg (-), HBsAb (-), HBV DNA (-), HCV Ab (-),HCV RNA (-), HA Ab (-), EBV (-), CMV8 (-)
LE cell (-), LE test (-), 抗DNA抗体 12.3 IU/ml、抗核抗体 80x homogeneous pattern, n-RNP/Sm/SS-A&B (-), MM 1x, LKM1(-), AMA M2(-), セントロメア抗体(-)
ICG 20%
眼科:シルマーテスト 右5mm、左10mm
Hb 12.5, RBC 382万、WBC 4800 (neutro 46%, eosino 4%, baso 1%, mono 7%, lymph 42%), Plt 17.7 万
PT 79%, A-PTT 28.9 sec, HPT 76%
Hb 11.4, RBC 371万、WBC 4000, Plt 19.4 万
Hb 11.4, RBC 371万、WBC 4000, Plt 19.4 万
1997.6.9 1997.8.20 T-Bil 1.6 0.7 D-Bil 0.9 0.3 ZTT 37 32 AST 233 112 ALT 320 103 LDH 595 692 Al-p 280 226 Ch-E 4419 4977 γ-GTP 160 122 T-chol 90 163 T-P 7.9 7.6 Alb 3.3 3.6 聖マリアンナ医科大学第二病理学教室 前山史朗先生はまずこの症例の臨床経過を次のようにまとめた上で肝生検組織所見を下記の如くを解説しました。
- 70歳、女性、手術歴・輸血歴および飲酒歴なし、
- 中等度のトランスアミナーゼの上昇と胆道系酵素の上昇
- 肝脾腫と蜘蛛状血管腫、Sicca complex の合併
- 免疫グロブリンIgG の増加と抗核抗体の出現
- 抗ミトコンドリア抗体は陰性
- Anti-M2 抗体は未測定(Western Immunoblotting, IgG, IgM & IgA 型)
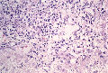
肝生検;平成9年6月?(発症後約2カ月)
標本;HE、Masson-trichrome、Elastica van Gieson、Victria blue(HBsAg)、ロダニン&鍍銀の6染色
1 2 3 4 5 6 7 8 9 10 11 12
- 小葉構造;一部でP-P bridging fibrosisをみ、Umbauの傾向を一部にみるも保持されている [F2〜3]
- 門脈域;中等度(以上)の線維性拡大、形質細胞&好酸球(ごく少数)を混じて中等度の単核球主体の炎症性細胞浸潤、明らかな小葉間胆管の障害像、細胆管増生、epithelioid cell proliferation
- 実質域;架橋形成性線維化(bridging hepatic fibrosis )、散在性にみる巣状壊死と好酸体、肝細胞の風船様膨化と明調化、肝細胞の大小不同、大滴性脂肪沈着を部分的に軽度にみる、核内空胞、ロゼット形成(偽腺管構造)、実質内に細線維の伸長、限界板の削り取り壊死、銅の沈着はなし(Victria blueおよびロダニン?)
病理組織診断;Chronic hepatitis, active & PBC, stage (I〜) II
病 因;PBCにAIH的な要因が加重された病態 ( AIH>PBC )(CAHーPBC mixed type ; by Dr. Berg in 1980 )
鑑 別;
1.Autoimmune hepatitis (AIH)
2.AIH on AMA-negative PBC ?
3.Immunocholangitis (by Dr Brunner in 1987 ) or Autoimmune Cholangiopathy (AIC ; by Dr Ben-Ari in 1993 )
[Returnto Medical Meetings] [Return to Case Study]